脳神経外科
概要
- 当科では、主な対象疾患として一般的な脳外科疾患、脳血管障害、外傷、水頭症、認知症関連疾患、頭痛関連疾患、脳腫瘍、脊椎疾患、下垂体疾患、機能外科などに対応致します。すべての緊急疾患・急性期治療に対応できるわけではありませんが、大阪大学脳神経外科医局および関連病院と常に連携しながら、主に外来診療、少ないですが主に水頭症、慢性硬膜下血腫の手術を行っております。
また健康診断や脳ドックなどで見つかる要精査所見の診療・相談も多数行っております。
特色・トピックス
当院では脳機能センターが併設されており、物忘れ外来はじめ認知症疾患を的確に鑑別診断・治療する事が可能です。また抗アミロイド抗体治療も数多くなされております。認知症疾患の中には、治療可能な認知症(treatable dementia)とも呼ばれる、正常圧水頭症や慢性硬膜下血種という疾患群も含まれ、迅速な連携で当科が外科的治療を担当します。
2025年より外来の診療幅が広がり、専門外来として下垂体疾患、てんかん、ボトックス治療に対応できるようになりました。また「シビレ外来」として専門外来も設けました。シビレ・神経痛は原因がはっきりしなくても専門家が総合的に診察、鑑別診断、治療します。
主な疾患対象
- 頭部外傷
- 頭部外傷、硬膜下血腫
- 脳血管障害
- 脳出血・脳梗塞、内頸動脈狭窄症など
- 脳腫瘍疾患
- 化学療法、癌性髄膜炎(オンマヤ貯留槽設置)、放射線治療などの集学的治療
- 頭痛関連疾患
- 片頭痛(抗CGRP関連製剤)、緊張型頭痛、三叉神経・自律神経性頭痛(TACs)
- 認知症疾患
- 水頭症、慢性硬膜下血腫など
- 脊椎疾患
- 脊椎疾患(狭窄症、ヘルニア)、脊髄腫瘍など
- その他
- 下垂体疾患(下垂体腺腫、ラトケ嚢胞)、機能外科
脳血管障害に対する診療
検査では、3D造影CT、脳血管造影、核医学検査(脳血流SPECT、PET)が可能です。当院の予防医学センターや近隣の脳ドックなどで見つかる要精査所見の診療・相談も多数行っております。多くは、内頚動脈狭窄症、未破裂脳動脈瘤などです。内科的治療が適切なのか、もしくは外科的治療や血管内治療が必要なのか、精査してしかるべき治療を選択しています。その際は、大学医局関連病院と連携して治療を進めます。(医局関連施設からの応援で血管内治療も可能です。)しかし脳梗塞に対する緊急血栓回収療法(カテーテル治療)はあいにく対応できません。
水頭症に対する診療
正常圧水頭症については、特に力を入れており、脳神経内科、脳機能センター、公認心理師、リハビリ科と協同して綿密で総合的な診断を行っております。
主な症状は、次の3つが特徴とされています。① 歩行障害: 歩幅が小刻み、足を引きずる、開いて歩いたり、方向転換時のふらつき、すくみ足も特徴 ② 認知障害: 集中力や意欲の低下、物忘れ、ぼんやり ③ 排尿障害: 頻尿や尿失禁。これらの症状は、アルツハイマー病やパーキンソン病など他の病気と似ていますが画像診断により鑑別できます。
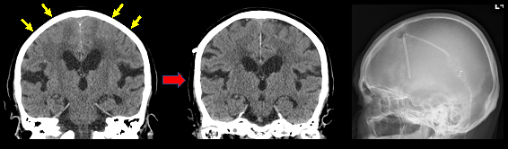
まず髄液排出試験(タップテスト)を約1週間の入院で施行し、神経心理検査(認知機能検査)および歩行機能を3日目まで詳細に評価します。適応のある方について髄液シャント術を提案します。脳室腹腔シャント術、脳室腰部くも膜下腔シャント術どちらも対応しますが、腰部の方を第一選択で考えます。術後も長期間フォローアップの方針で認知機能と歩行機能を定期的評価し、シャント圧設定を綿密に調節致します。画像上の改善とともに症状改善がみられる方が多いです。

図:正常圧水頭症に対する髄液シャント術(脳室シャント)、CTにて高位円蓋部の脳溝狭小や脳梁角の改善がみられる。
認知症に対する診療
「最近、もの忘れが多くなった気がする」「もしかしたら認知症かもしれない」といった不安を抱えていませんか?当院では、認知症の専門的な診療に力を入れています。ご自身やご家族の「あれ?」「もしからしたら...」という些細なサインにも真摯に向き合い、丁寧な診察と的確な診断を行います。アルツハイマー病をはじめとする各種認知症の鑑別はもちろん、治療で改善が見込める正常圧水頭症についても、精密な診断から手術まで一貫した治療を提供しています。患者様一人ひとりの症状や状態に合わせて、最適な治療方針をご提案しますので、少しでも気になることがあれば、まずはお気軽にご相談ください。
頭痛に対する診療
突然の激しい頭痛で仕事や家事が手につかなかったり、日常生活に支障をきたすほど寝込んでしまったり、といった経験はありませんか?当院は、そのような片頭痛の診療にも力を入れています。頭痛の原因や症状は人それぞれです。まずは患者様のお話を丁寧に伺い、頭痛のタイプを診断します。そして、痛みを和らげる治療に加え、頭痛の頻度や重症度を軽減する新しい注射薬による予防治療(抗CGRP関連薬)も積極的に取り入れています。頭痛に悩まされることなく、安心して日常生活を送れるよう、患者様の生活の質の向上を目指します。
シビレについての専門外来
「シビレ外来」として専門外来も設けました。シビレ・神経痛は原因がはっきりしないものがあり、脳、脊髄や末梢神経などの障害から起こり原因は多岐に及びます。「シビレには必ず原因がある」という考えのもと脳神経外科医が「シビレ」を総合的に診察、鑑別診断、治療します。よくわからない困った「シビレ」でもお気軽にご相談下さい(地域連携室でご予約)。
患者さまへ
このような方は、ご相談下さい。
- 人間ドックで脳に関する指摘を受けた、生活習慣病などで血管が細いといわれた
- 頭を打撲したがその後が心配、頭部打撲後で記憶力や注意力が上手くいかない
- なんとなく物忘れが多くて認知症が心配、脳の検査を受けたい
- 最近、急に認知症が進んできたので心配
- 認知症で生活に困っている(認知症専門認定看護師によるケア外来)
- 歩きにくくなって認知障害・尿失禁が目立ってきた
- ひどい頭痛が誘因なく急に来るので仕事や日常で困っている
- 寝込んでしまうほどつらい頭痛がある
- 天気によって頭痛がひどくなる、毎日頭痛に悩まされている
- なんとなく手がシビれる、足がシビれる、シビレがだんだん痛みになってきた
- しばらく歩いていると、足がしびれてきて歩けなくなるが休憩を挟むと歩ける
手術実績
| 慢性硬膜下血腫穿孔洗浄術 |
10件 |
|---|---|
| 水頭症手術(シャント手術) | 9件 |
| 脳腫瘍生検術 | 1件 |
| オンマヤ貯留槽設置術 | 1件 |
| 異物除去術 | 1件 |



